全身の歪みを治す顎ズレ矯正
驚くほど身体まで整う30年の成果
顎ズレ矯正の流れ

顎のズレと歪を診断

CT診断(骨格の歪呼吸路確認)、咬合器診断(歯列の歪)、触診で骨格の歪を診断。

CT撮影と咬合器マウント

CTで気道閉塞(左上白丸)、頸椎の歪(左下は正常)を確認、模型(中は正常)で顎と噛み合わせの歪を確認


矯正治療の場合 補綴の場合

      

  歯を移動  かぶせ物、入れ歯で治す 


正確なブラケット装着
緊密な噛み合わせのためインダイレクト法(白須賀法)で高精度のブラケット装着
白須賀法を用いた間接法によるブラケット装着

真ん中は白須賀ゲージ、250μm単位で装着位置を計測、調整できる構造になっています。
寸分の狂いなくブラケットを位置決め出来る


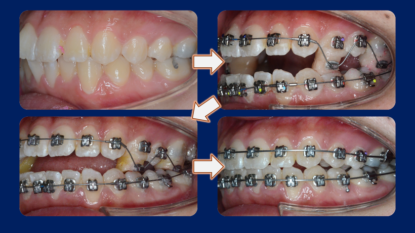
負担なく顎を移動

奥歯に材料を盛り、顎の位置修正をしながら最弱の力(デーモンブラケット)で歯を移動

バイトアップ法で奥歯を引き出します。

ノウハウ保護の為一部写真をぼかしてあります。


調和した顎の位置を決める

身体のバランス変化に合わせて来院ごとに材料を調整、正しい顎の位置を決めます。

顎の回転を利用した歯列矯正、奥歯が高くなりながら前歯は自然に噛んでくる。

ノウハウ保護の為一部写真をぼかしてあります。


噛み合わせ完成
上の顎のアーチが広がり口の中が広がる。

ブラケットを除去しCTで顎の状態を3Dで確認、頸椎の反りと下顎の角度が正常に。(下はわかりやすい別の患者さんの治療前後のものです)

CTで顎の角度が変化しているのが分かります。

治療での顎ラインの変化(赤術前、青術後)
治療による骨格変化(赤治療前、青治療後)

保定と経過観察

ブラケットが取れても終わりではありません。歯と身体が安定するまで体調管理が必要です。