メインテナンスの流れ

状態確認

前回のメンテナンスからの歯と体調の変化をお伺います。



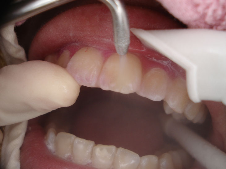
歯石、バイオフィルムの除去

歯ブラシでは取れないバイオフィルム、頑固な歯石を超音波とハンドスケーラーを用いて取り除きます。



着色と汚れの除去

スケーラーでは取れない歯の汚れ、着色を特殊なジェットの粉で取り除きます。



歯の研磨

歯の表面を微粒子の研磨剤を使い、汚れが着きにくくなるよう研磨します。



フッ素塗布

虫歯予防のためのフッ素塗布を行います。



治療必要箇所の確認

歯科衛生士が歯の状態をマイクロスコープてチェック後、治療必要箇所を歯科医師が確認します。