ご存知ですか?

睡眠時無呼吸症候群(SAS)

睡眠時に起こる呼吸障害で、噛み合わせと顎周囲との関係が深く、誰にでもおこる疾患です。

SASとは?

SASの原因
医科で行われる治療法

歯科で行われる治療法

①SASとは?
SASは、舌根沈下を起こすことで呼吸路が塞がれ、呼吸が止まることで起こり、悪化すると「心筋梗塞」「脳梗塞」原因となる厄介な症状です。
出っ歯の呼吸路閉塞の例はこちら

②SASの原因
1.口の中が狭い(狭窄歯列弓、出っ歯で下顎が後退)
2.口と顎周りの緊張が強い
3.極度の肥満
SASの原因は上記の3つがありますが、日本人には1と2は少なく、多くが1.と2.が原因と言われます。

③医科で行われる治療法
1.シーパップCPAP
2. 軟口蓋の切除
3.肥満の改善
これらの治療法のうち1.と2.は対症療法であり、1.ではマスク装着の違和感と装着後の跡が酷く、2.では手術時のリスクが高く、3.の肥満が原因の日本人にあまりいないため、原因療法的がないと言えます。
 

④歯科で行われる治療法
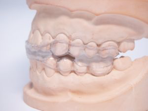
1.マウスピースの装着
2.歯列矯正
1.は対症療法であるため、日本人にとって2.がベストの方法です。生理的に正しい下顎の位置で噛ませる歯列矯正を行えば、SAS原因である「口の中の狭さ」「口と顎周りの緊張」の問題を同時に解決することができるのです。
治療法についてはこちら

補足

噛み合わせが治り口の中が広がったとしても、SASは睡眠時に舌根沈下を引き起こす筋肉の緊張も大きな要因です。
噛み合わせが治り身体のバランスが整っても、気血のバランスが崩れると筋肉の緊張が起こりやすくなります。
メインテナンスは汚れ除去とともに、気血のバランスを整えてくれます。
また当院では東洋医学の考え方を取りいれ、養生法として気血の調整で緊張を生まない体づくりされることを推奨しております
 
日々の体調管理として気血調整に必要な漢方薬や養生茶、薬膳、気血調整の方法について、ご指導させていただいております。会員制度を参照