歯科医が教える9割の人が知らない”エンパスの意味と解決法”
身体と歯の関係 · 02/03/2026
エンパス体質について、科学的に持論を書かせていただきます。

触診しなくなった医師たち
医療 · 01/16/2026
最近めっきり触診する先生が減りました。なぜでしょうか?

麻酔で「気持ち悪い」、「効きにくい」がなくなる方法
虫歯治療 · 01/16/2026
歯科治療の麻酔で気持ち悪くなるケースの原因と対策について書いた内容です。

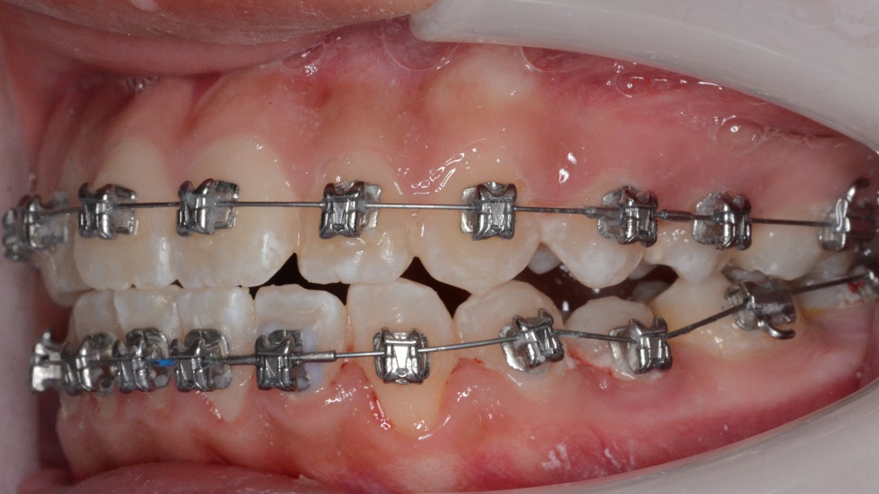
「ブラケットの位置に違和感?」を感じたことはありませんか?
歯列矯正 · 01/16/2026
ブラケットの位置づけが偏と感じたことはありませんか?実はブラケットの位置が正確かどうかは治療の成功と深く関係するのです

休診日のお知らせ
新着情報 · 01/16/2026
番町デンタルクリニックの休診日のお知らせです。

「歯からくる全身の不調!」「東洋医学で読み解く原因と解決法」
歯と深く関係した身体の経絡の関係について書かれたブログです。

いびきで寝れないイラスト
副院長 · 01/08/2026
 睡眠時無呼吸症候群を知っていますか?最近になってよく聞く機会が増えて聞いたことがある人や実際に診断された人もいると思います。  いびきをしている人が危ないとか太っている人がなりやすいなどの話を聞いたことのある方もいると思います。 では実際、睡眠時無呼吸症候群とは何なのか?原因や治療法も含めて説明していきたいと思います。...

11/26/2025
東洋醫學は聞いたことがあっても、中醫學という言葉はあまり聞き馴染みがないと思います。 東洋醫學とは実は中国で行われていた伝統的な療法である中醫學が日本に入り、日本に適した形に改良されたものです。...
”不眠”、”疲れやすい”、”足が冷える”も”本物の歯科治療”と”本物の伝統的代替療法”の「先進統合医療」が治す!
身体と歯の関係 · 11/13/2025
不眠や疲れやすいといった不調も実は歯と深い関係があります。 東洋医学と西洋医学の考え方の違いも交えて解説してゆきます。

ホームページをリニューアルしました。
新着情報 · 10/02/2025
ホームページを内容を一新し、分りやすくリニューアルします。

さらに表示する